«Juntos por Sebasthian»: niño fue diagnosticado con quiste cerebral en Margarita
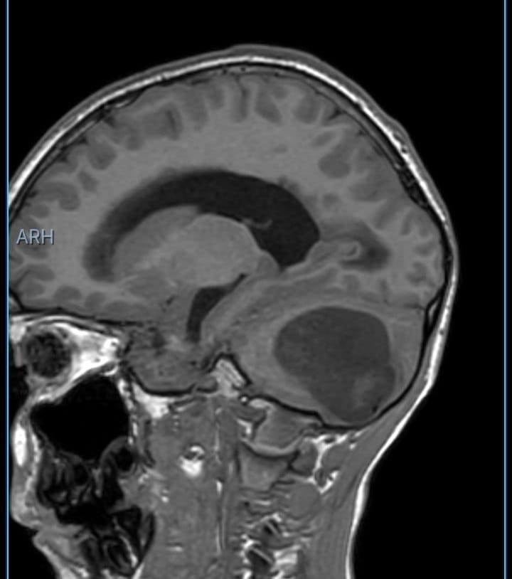
Sebasthian González, un niño de 10 años oriundo de la Isla de Margarita, fue diagnosticado con un quiste aracnoideo ubicado en la parte posterior de su cerebro que requiere una intervención quirúrgica urgente cuyo costo asciende a 21.000 dólares.
De acuerdo a sus familiares, González comenzó a presentar dolores de cabeza intensos, vómitos persistentes por las mañanas y un empeoramiento progresivo de su estado neurológico. Tras una evaluación médica, los especialistas encontraron el tumor en su cabeza, el cual le está provocando una hidrocefalia obstructiva y una hipertensión endocraneana severa.
El reporte del Hospital Clínicas del Este detalló que el menor de edad necesita de una hospitalización inmediata y la colocación de un sistema de derivación ventriculoperitoneal para aliviar la presión en su cerebro, seguido de una segunda intervención quirúrgica para tratar y extirpar la lesión.
Familiares y amigos de la familia González lanzaron una campaña para recaudar fondos y así poder costear el procedimiento, ya que el monto supera su presupuesto.
«Cada donación, por pequeña que sea, hace una gran diferencia, y si no es posible colaborar económicamente, compartir esta campaña también ayuda enormemente. Gracias por ayudarnos a darle a Sebasthian la oportunidad de recibir tratamiento, recuperarse y seguir creciendo», declararon.
Si desea realizar alguna donación, puede hacerlo a través de los siguientes medios:
Banco de Venezuela: 0102053368000055495, 13848334. Titular: Francys Evelina García Rojas (madre del chico).
Pago móvil (Banco de Venezuela): 04148292895, 13848334.
Gofundme (donaciones internacionales): https://gofund.me/849290b77
Para más información también puede comunicarse al número 04127947099.

